エクスペリメンティカは眼科領域に特化した非臨床試験の受託機関(CRO)。自社施設で薬効薬理試験や薬物動態試験を実施し、GLP準拠の体制で国際基準のデータ取得に対応しています。当ページでは、エクスペリメンティカの非臨床試験の特徴や保有する病態モデル等についてご紹介してます。
前臨床段階における薬物動態(PK)試験を通じ、候補物質の吸収・分布・代謝・排泄を定量的に評価します。経口・静脈・眼内など多様な投与経路に対応し、血漿や眼組織、房水などのサンプルを対象に高感度測定を実施。LC-MS/MSなどの分析技術を用いて曝露量や組織分布を解析し、薬効試験や安全性試験の設計に活かしています。GLPに準拠した体制のもと、国際的な品質基準に沿ったデータ取得が可能です。
エクスペリメンティカの薬効薬理試験では、糖尿病性網膜症・緑内障・ドライアイなどの疾患モデルを用い、新薬候補の有効性や作用メカニズムを可視化in vivoおよびin vitro試験の双方に対応し、AI画像解析による定量評価やバイオマーカー測定を組み合わせた包括的な解析が可能です。投与設計や評価指標は研究目的に応じて柔軟にカスタマイズされるため、取得したデータは個別の薬効の裏付けやメカニズム解明に大きく寄与するでしょう。
酸素濃度を制御して網膜血管の閉塞と再灌流を引き起こし、新生血管の形成を再現するモデルです。抗VEGF薬など血管新生阻害薬の有効性評価に広く利用され、血管構造を画像解析で定量化できます。
スコポラミン投与と低湿度環境を組み合わせ、涙液分泌の減少や角膜上皮障害を誘発するドライアイモデルです。涙液量や角膜損傷スコアを指標に、保湿・抗炎症薬の効果を多面的に検証できます。
マイクロビーズを前房に注入し、房水流出を抑制して眼圧を上昇させる緑内障モデルです。視神経線維層の変化や網膜神経節細胞の損失を定量化し、眼圧下降薬や神経保護薬の評価に活用されます。
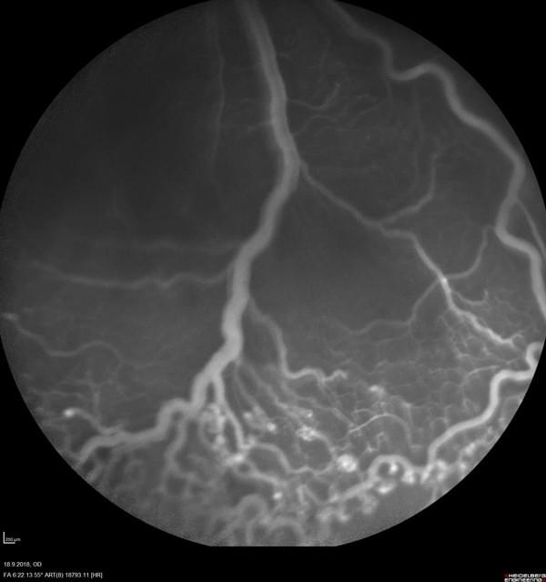
酸素誘発性網膜症(OIR)モデルを用い、抗VEGF薬Afliberceptの有効性を検証した前臨床試験です。高酸素環境と常酸素環境を交互に与え、血管閉塞と再灌流による病的新生血管を再現。投与群では新生血管面積が顕著に減少し、血管構造の正常化が確認されました。この結果はEVER 2018で発表され、同社の画像解析技術と血管定量評価手法が抗血管新生薬の開発支援に有用であることをアピールしました。



| 会社所在地 | Microkatu 1, P.O. Box 1199, 70211 Kuopio, Finland |
|---|---|
| 電話番号 | +1 844 393 4393 |
| 公式サイト | https://experimentica.com/ |
新薬開発において、非臨床試験の質と効率は、臨床成功率やコスト、スピードに直結します。特に近年では、「ヒト外挿性の高いデータ」「国際申請に通用する信頼性」「創薬初期での的確な絞り込み」といったニーズが高まり、CRO(医薬品開発受託機関)選びにも戦略性が求められるようになりました。
本記事では、非臨床の目的ごとにおすすめの3社を厳選して紹介していきます。